Mr
Mrs
Ms
Miss
Mx
Dr
Prof
Master
Rev
Sir
Lady
Lord
Dame
Hon
Earl
Judge
Other

A beautiful smile can boost confidence and leave a lasting impression. With advances in cosmetic dentistry, achieving the perfect smile is now easier than ever. At Dr. Doris Clinic, we offer some of the latest technology in cosmetic smile make over, with various treatment options that are available depending on the condition of the patient. The treatment options including porcelain veneers, superfine porcelain bonding, and clear aligners. Each of these treatments has unique advantages and limitations, and in some cases, a combination of these approaches may offer the best results. This article explores these three treatment options and discusses their potential integration for optimal aesthetic outcomes.


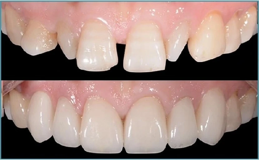
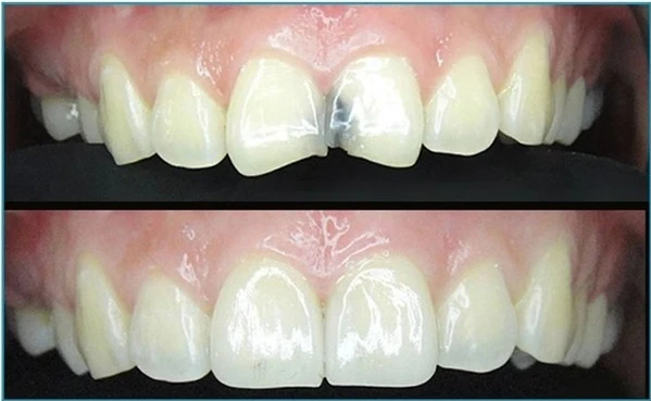
Porcelain veneers are thin, Italian handmade, custom-designed shells of ceramic material such as eMax or Zirconia that are bonded to the front surface of teeth to improve their shape, size, colour, and alignment. They are widely used in smile makeovers to create an ideally proportional, symmetrical, and aesthetically pleasing smile. This is the treatment option of choice when the patient wishes to achieve a higher degree of change in their smile, often we are able to combine this treatment with laser surgery to also improve aesthetic shape of the gum to ensure perfect natural appearing emergence profile in the results for patients who have misaligned teeth which also often also suffer from uneven gum level.






| Porcelain Veneers £1250 each tooth |
Superfine Porcelain Bonding £495 per tooth |
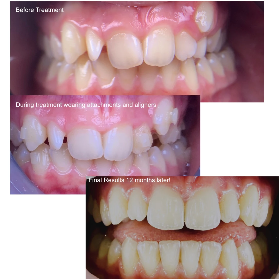
Clear Aligners £250 per Aligner and price for total treatment will depend on how many aligners, attachments and other accessories required to complete treatment |
|---|---|---|
|
|
|
|
|
|
| 10-20 years with proper care | 10-20 years before needing replacement | Lifetime with proper retainer use |

Choosing the right treatment for a cosmetic smile makeover depends on the patient’s specific concerns, budget, and long-term goals. Dr. Doris Clinic is a specialized cosmetic practice with many years of experiences in cosmetic smile make over, this ensures that patients receive the highest level of precision, customization, and aesthetic excellence. Consulting with one of our highly experienced cosmetic dentists will help determine the most suitable treatment plan for achieving a beautiful, confident smile that you can enjoy for many years to come!